В Дента Консулт собствените зъби могат да бъдат възстановени, без те да бъдат изпилявани за зъбни корони и завинаги унищожени в тяхната цялост. Ние възстановяваме зъбите, като добавяме само загубената част от тях, чрез виртуално 3D проектиране и изработване в собствената зъботехничеческа лаборатория на Дента Консулт София.
Вследствие на развитие на кариес част от тъканите на зъба се разрушават. Най-добрият начин те да бъдат възстановени, е като имитираме това, което природата е създала.
Зъбите имат красив и добре изразен релеф, чиято роля е да помага при отхапването и сдъвкването на храната. Кариесът и други заболявания са причина релефът и формата да се загубят, което затруднява и цялостната функция на зъба и целия дъвкателен апарат. В Denta Consult ценим всичко, което природата е създала – тя по съвършен начин обвързва формата и функцията. Затова винаги, когато възстановяваме разрушен зъб, ние се водим от следните принципи:
Минимална намеса – запазваме всяка останала здрава тъкан от зъба. Стремим се към минимална препарация на зъбите, тоест по-малко работа с ”машинката” – само там, където е необходимо.
Възстановяване на оригиналната форма и релеф на зъба. Това може да се постигне по два начина, в зависимост от случая:
ИЗРАБОТВАНЕ В СОБСТВЕНАТА ЗЪБОТЕХНИЧНА ЛАБОРАТОРИЯ НА ДЕНТА КОНСУЛТ
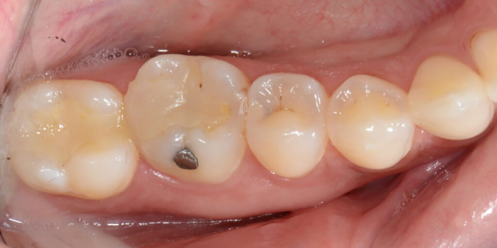
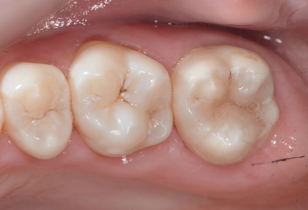
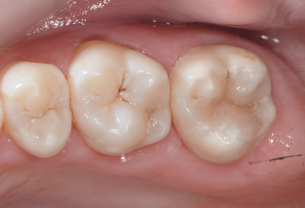
Случай 1


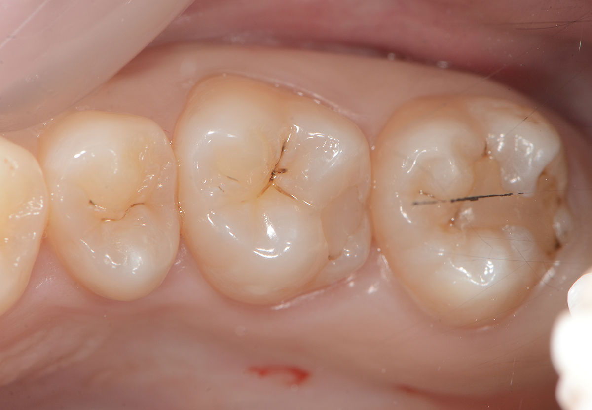
Случай 2



– В ЗЪБОЛЕКАРСКИЯТ КАБИНЕТ ЧРЕЗ НАНАСЯНЕ НА КОМПОЗИТ
Случай 1




Случай 2




ПРЕЦИЗНА РАБОТА
Тук на помощ идват лупите, микроскопът, както и платното, което се поставя около зъбите и служи, за да осигури чиста и стерилна среда на работа.
Адхезивен протокол
Съвременната възстановителна дентална медицина се основава на спазването на стриктен адхезивен протокол. Всички процедури от директно възстановяване на зъби с композит до залепването на керамични фасети се основават на него.
Ето и основните му елементи:
1.Добра изолация и сухота на операционното поле. Това се постига чрез употребата на гумено платно, с което изолираме един или повече зъби, върху които ще работим.
2.Точен тайминг – асистентите ни засичат с таймер секундите, в който всеки един от компонентите на адхезивната система е в контакт със зъба.
3.Нанасяне на малки дози композит, внимателното му моделиране и полимеризиране. Така се избягват нежелани последици като чувствителност в зъба, който изграждаме (възстановяваме), пукнатини, включително отлепване на възстановяването.
4.Увеличение под микроскоп или лупи. Това е начинът да бъдем възможно най-прецизни.











