
Ортодонтското лечение с алайнери има за цел, да бъде възстановена хармонията между позицията и функцията на зъбите, което води до съществена визуална промяна и подобряване на външния вид на пациентите.
С ортодонтско лечение с алайнери се разрешават проблеми, свързани с неправилната позиция на зъбите и захапката. Това е един от най-ефективните инструменти в естетичната и профилактична дентална медицина и намира приложение както самостоятелно, така и в комбинация с друг вид лечения, ако случаят е по-сложен или пък се търси начин за ми-нимално инвазивна намеса.

Лечението с алайнери представлява алтернатива на конвенционалното ортодонтско лечение с брекети. Алайнерите са прозрачни шини – подобни на шините за избелване, които могат да се свалят.
Те носят в себе си информация за движението на зъбите, която е зададена в тях, чрез дигитално проектиране на движението на зъбите, което искаме да осъществим. Благодарение на съвременните дигитални технологии можете да видите планирания финален резултат преди да започнете своето лечение.

Алайнерите са чудесна алтернатива за пациенти, които не искат да носят брекети, но в същото време искат да подобрят естетичния вид и позиция на своите зъби.
За разлика от брекетите подържането на хигиената на зъбите е лесно, бързо и безпроблемно. Сваляте шините, миете зъбите и отново ги слагате.
Когато се касае за комбинирани лечения, ортодонсткото лечение може да се използва за осигуряване на място за поставяне на зъбни импланти. С помощта на зъбните импланти могат да се възстановят зъби, които често ги няма в резултат на еволюцията ни. Най-често това са вторите централни резци.
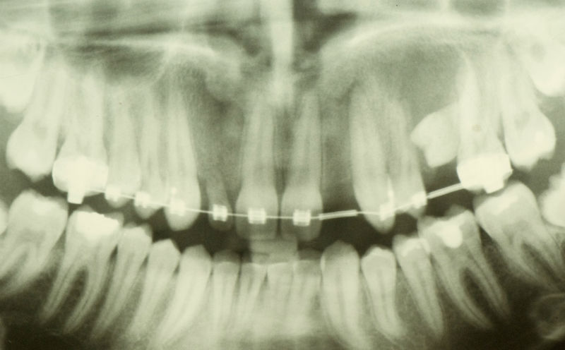
Лечение с брекети за осигуряване на място за зъбни импланти.


Лечение с алайнери за осигуряване на място за зъбни импланти.
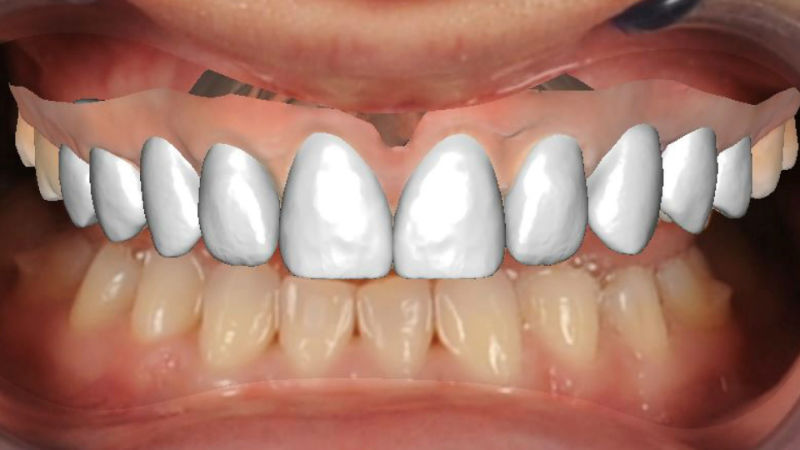
– Виртуално планирано ортодонтско лечение с алайнери – собствени зъби и зъби върху зъбни импланти

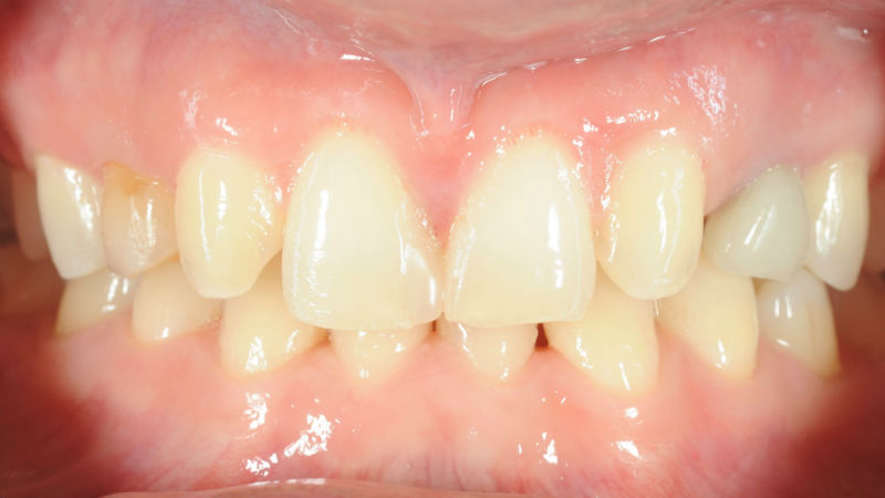
– Състояние на зъбите преди започване на лечение с алайнери

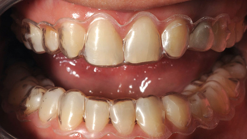
– Провеждане на лечение с алайнери за осигуряване на място за зъбни импланти. И зъби с големина и форма като на дигиталния проект.








