
Няма нищо по-добро от Вашите естествени зъби. Затова и подходът ни е винаги да се стремим да ги запазим.
Какво представлява лечението на зъбните корени?
Кореновото лечение, наречено още ендодонтско лечение, се налага тогава, когато зъбната пулпа (нервът на зъба) е засегната от дълбок кариес или инфекция. При лечението зъбната пулпа се отстранява, каналът на зъба се почиства, стерилизира и запълва.
Защо е важно ендодонтското лечение?
То е пряко свързано с продължителността на живот на всеки зъб. Правилно проведеното кореново лечение позволява след премахване на пулпата зъбът да продължи да участва пълноценно в дъвкателния процес.
Как се провежда лечението и колко време отнема?
В зависимост от ситуацията, процедурата отнема между един и два часа и може да приключи в рамките на едно или няколко посещения. В Denta Consult кореновото лечение се осъществява задължително под микроскоп от специалист – ендодонтист. Това ни дава възможност да сме по-прецизни, особено при по-сложни случаи като перфорация на зъба, премахване на счупени инструменти от каналите на зъба, трудна анатомия и други. Цялото лечение се провежда под изолация – гумено платно, което пази работната среда стерилна. Рентгеновият контрол ни позволява да видим резултата веднага след завършване на процедурата.
Има ли болка?
Лечението се провежда под упойка и е напълно безболезнено. След него зъбът може да има лека чувствителност, която отминава до три дни.
Трябва ли да нося рентгенова снимка?
Не е задължително. В случай, че имате снимка на зъба, може да я донесете. Тя ще предостави допълнителна информация на вашия стоматолог. Ако не разполагате предварително с такава, ще заснемем зъба при нас.
Каква е цената на кореновото лечение?
Цената на кореновото лечение е между 200 и 600 лв., в зависимост от лекувания зъб.
Какви са другите варианти в случай на неуспех?
Зъбът може да се лекува повторно или да се премине към алтернатива, каквато е зъбният имплант. Повече информация можете да откриете тук.
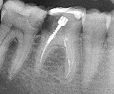
Снимка
преди

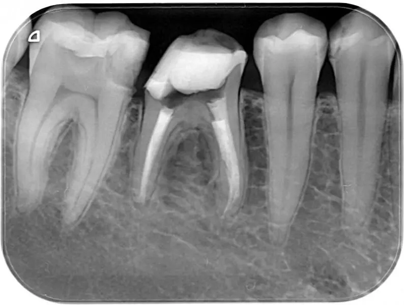
Снимка
след










