Оригинални зъбни импланти Nobel Speedy за All on 4
През последните години лечението по метода All on 4 създаден от Paulo Malo, придоби широка популярност, поради бързото възстановяване на цялото съзъбие при неизбежната нужда от премахване на всички останали собствени зъби, без използване на методи изискващи по-дълъг период от време за завършване на цялото лечение – синус лифт, костна аугментация и др.

За изпълнението на този метод Malo и колектив от иженери на най-голямата компания в света за производство на зъбни импланти Noble Biocare разработват специални зъбни импланти – Noble Speedy. Специфичните особенности на тези импланти са уникални и дават възможност за подобряване на лечебния процес както във хирургичната фаза, така също и в протетичната.
Голяма част от останалите фирми произвеждащи зъбни импланти, се стремят да пригодят своите импланти към оригиналната методика All on 4, но техните импланти по много свои показатели нямат характеристиките на имплантите на Nobel Biocare. Зъболекарите които ги използват, поемат риска, да се появят ранни или късни проблеми по отношение на целия лечебен процес. Това не е в интерес най-вече на самите пациенти, защото е необходимо да се знае, че самото лечение може да се проведе само веднъж. Втори опит да се повтори операцията е много малко вероятен, поради останалия малък обем кост. Хората трябва да знаят, че отстраняването на остеоинтегриран имплант съвсем не е безобидно. Много често то е свързано и с отстраняване на големи обеми кост, които впоследствие много трудно могат да се възстановят, ако въобще това е възможно.

За хората важен момент е крайната цена на едно лечение, но много често се използват евтини зъбни импланти от зъболекарите, за да се увеличи оборота на поставени импланти и да се реализира по-голяма печалба. Всичко това увеличава риска, пациента да пострада с появата на много проблеми за него. Най-големият проблем е отказа на други зъболекари да му помогнат, особенно когато са използвани така наречените базални импланти. Тези хора много често са принудени, да търсят много скъпо струваща помощ в чужбина.
По отношение на хирургията е важно, че зъбните импланти на Nobel не са режещи, а са разпъващи. При тънка кост това дава възможност, самите импланти да се използват като експандери по отношение на кортикалните стени на наличната тънка кост.

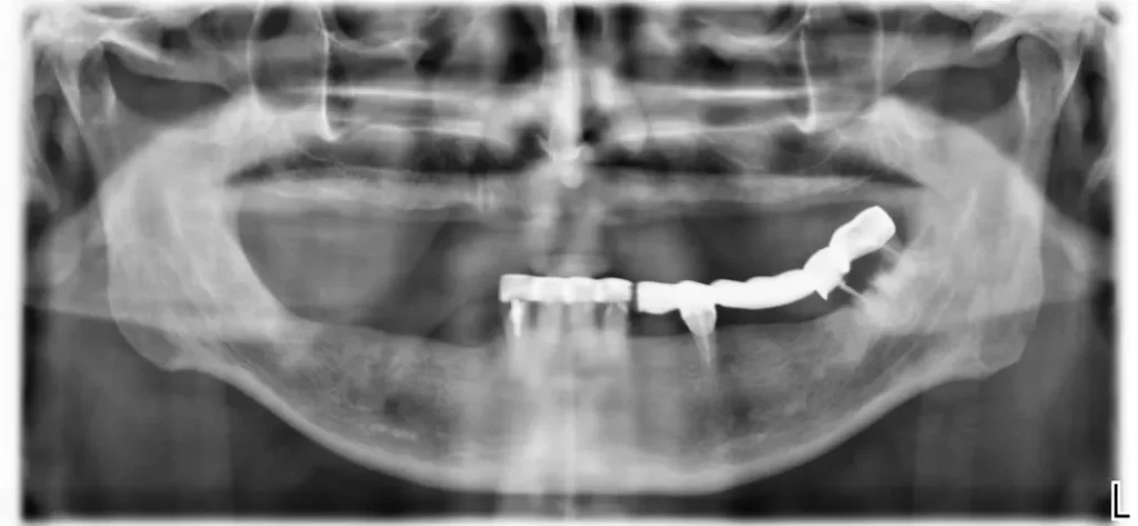
По отношение на протезирането /зъбите върху зъбните импланти/ е необходимо отворите през които преминават закрепващите винтове да се разположат в централната фисура на зъбите. Това се постига чрез т.н. Multy unit. При имплантите Nobel speedy в горната част има външен хексагон. На него се закрепва multy unit във възможните 18 позиции. Това дава голяма възможност на зъболекаря, така да позиционира multy unit спрямо импланта, че отворите по дъвкателната повърхност на зъбите, да са точно в дъвкателния улей. За сравнение, при всички други импланти възможните позиции са 6 във вътрешен хексагон. Това означава, че при Nobel speedy вероятността за почно позициониране е три пъти по-голяма. Тази точност може да се окаже решаваща за крайното лечение по метода All on 4.
При вътрешният хексагон фиксирането на временната конструкция към имплантите е значително по-рисково и би могло да създаде неприятни проблеми, отколкото при външния хексагон на зъбните импланти Noble speedy.

За Вас през последните две години д-р Маринов Jr. разработи и доусъвършенства дигиталната методика за приложение на Хирургичните водачи в съответствие с метода на Malo – All on 4.
Това е гаранцията за изключително точно позициониране на дисталните – задни зъбни импланти спрямо максиларните синуси в горната челюст и долночелюстния канал на n. mandibularis в долната челюст по време на хирургичната операция.
Втората съвременна разработка на д-р Маринов Jr. е дигитално сканиране по време на самата операция, което никак не е лесно. То ни дава възможност при определени обстоятелства, да съкратим клиничното посещение за определяне височината на оклузия и централната позиция на долната челюст, без да променяме биометричните параметри на лицевия скелет.
Д-р Маринов Jr. и д-р Дучев са единствените български зъболекари, които си направиха труда, вложиха пари и време да посетят курсовете на проф. Malo в Лисабон, за да “почерпят знания от извора” и да Ви лекуват със зъбни импланти по оригиналната методика All on 4.
Споделените с Вас моменти, за възстановяване на вашето съзъбие със зъбни импланти по оригиналната методика на Paulo Malo – All on 4 са част от истинската, съвременна дентална медицина, която се практикува в клиниката на Дента Консулт.
Oще информация в статията “All on 4 – концепция„









