All-On-4™ e иновативна рехабилитационна концепция за лечение, позволяваща в едно посещение с помощта на специални зъбни импланти, без добавяне на костни заместители, изцяло обеззъбени пациенти да получат неподвижни зъби, които изглеждат и функционират като естествени.

Последователност при лечение с All-On-4™
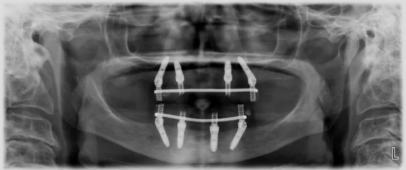
- Поставят се четири импланта в костта.
- Към тях се свързват специални мулти-юнит абатмънти.
- Към мулти юнит абатмънтите се свързва конструкцията.
Най-важните моменти, които имат значение за Вас, при наличие на цяла протеза са:
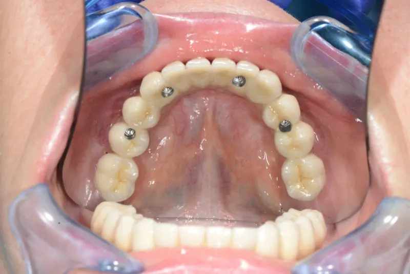
- Още същия ден 1-ви на оперативната интервенция Вашата подвижна протеза се превръща в неподвижен, винтово закрепен временен мост върху зъбни импланти /идвате с нестабилна цяла протеза с небце и си отивате със стабилен временен мост от 10 зъба/.
- След 6 месеца временният мост се сменя с постоянен такъв от цирконий от 12 зъба, изработен по най-съвременна CAD/CAM технология в нашата собствена зъботехнична лаборатория.

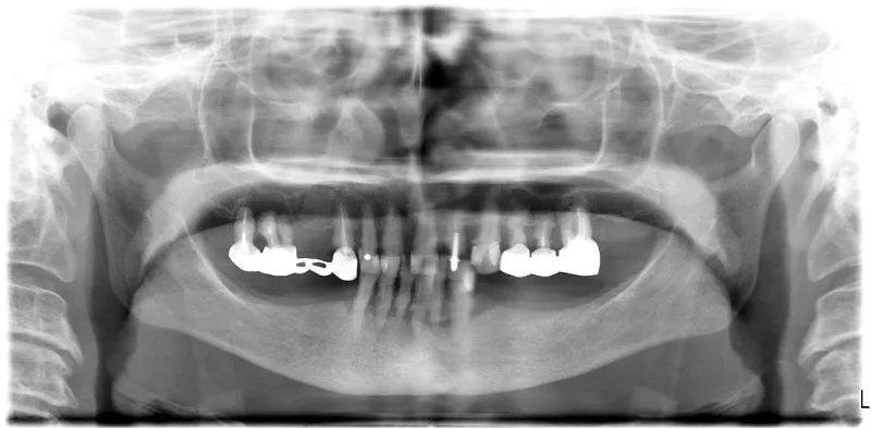
Ако Вие имате зъби, които подлежат на изваждане, ще се случи следното:
- Още същия 1-ви ден на оперативната интервенция ние ще премахнем зъбите и веднага, върху зъбни импланти, ще поставим временнен, неподвижен, винтово закрепен мост от 10 зъба.

- След 6 месеца ще сменим временния мост с постоянен, от 12 зъба – винтово закрепен, изработен по най-съвременна CAD/CAM технология от цирконий в нашата собствена зъботехнична лаборатория.
Предимства за Вас:
- рехабилитация на тотално обеззъбена горна или долна челюст /или такива, на които предстоят да се извадят и последните зъби /с четири зъбни импланта, поставени във всяка челюст/,

- елиминира се нуждата от костни заместители,
- намален брой хирургични процедури,
- поставяне на временна, винтово закрепена, несваляща се конструкция в деня на хирургията,
- свалящата се протеза /ако имате такава/ се превръща в несвалящ се, винтово закрепен мост,
- финансово и времево спестяваща процедура, сравнена с манипулации, изискващи костни заместители и синус лифт
- възможност за лекуване на сложни случаи, които са останали без решение до този момент.
Съпътстващи ОБРАЗОВАТЕЛНИ статии за пациенти:
Кои зъбни импланти са добри! Защо?
Лечение с 4-ри зъбни импланта – варианти; цени; All on 4.








