Лечението с All on 4 зъбни импланти придоби широка популярност при хора, загубили всичките си собствени зъби.
Но какво всъщност получаваме? Какво печелим и какво губим? Със сигурност можем да кажем, че лесно може да се подведем по едно – бройката четири зъбни импланта All on 4.
Ако смятаме колко струва един зъбен имплант, със сигурност ще сбъркаме.
При лечение с четири импланта ние можем да получим различно по качество дентално лечение, с различна успеваемост и различни проблеми, които бихме имали в бъдеще!!!
Вариант 1.
С четири мини импланта може да се проведе лечение предимно в долна челюст. Цялата зъбна протеза е поставена върху 4 неостеоинтегрирани мини импланта. Мини имплантите са едночастови с дебелина 1,8 – 2.0 мм.
Предимства:
– Веднага цялата протеза става много по-стабилна.
– Ниска цена за лечение.
Недостатъци:
– Протезата се поставя върху неостеоинтегрирани зъбни импланти – намалява се сериозно вероятността за успех. Рискът от проблеми е голям. Никъде в литературата няма публикувана статистика за успеваемостта от този метод на лечение.
– Периодично трябва да се подменят меките гумени амортизатори в протезата.
– Периодично трябва да се правят корекции на протезата, свързани със сенилната / старческа / атрофия и износването на пластмасовите зъби.
– Най-сериозният недостатък е, че Вие оставате с подвижна снемаема цяла протеза с всичките й неудобства – натрупване на храна под протезата, болки и дискомфорт, затруднено хранене и говорене.

Вариант 2.
Лечение в горна челюст при липса на всички зъби, т.е. цяла протеза върху 4 остеоинтегрирани импланта.
При този метод имаме предварително остеоинтегрирани импланти с нормална дебелина – приблизително 3,5 – 4,5 мм.
За долна челюст в годините се доказа, че не е необходимо имплантите да са 4. Достатъчни са 2 зъбни импланта. За горна челюст са необходими задължително 4 импланта – има значение по отношение стабилността на протезата.
Възможно е да се ползват две различни задържащи системи върху зъбните импланти.

- О-Ball система – тя е по-старо поколение.
2. Locator система – тя е по-ново поколение.
/горна челюст – 4 зъбни импланта/

/долна челюст – 2 зъбни импланта/
Предимства:
– Вероятността за продължителен успех на лечението е многократно по-голяма в сравнение с мини имплантите.
– Възможност за ползване на лята редуцирана скелетирана протеза – за горна челюст.

Намаленият обем я прави много по-поносима. Топло и студено се усещат много по-добре. Слюноотделянето и гаденето са многократно намалени.
Недостатъци:
– По-продължителен срок за лечение.
– Периодично трябва да се подменят меките гумени амортизатори в протезата при O-Ball система или пластмасови втулки при Locator система.
– Най-сериозният недостатък е, че Вие оставате с подвижна снемаема цяла протеза с всичките й неудобства – натрупване на храна под протезата, болки и дискомфорт, затруднено хранене и говорене.

– Относително по-висока пакетна цена.
За определяне пакетната цена на лечението значение имат много фактори – вид и брой импланти, видът на цялата протеза, както и нейното задържане и др.
Вариант 3.
Nobel Biocare имат уникални иновативни разработки на отделните линии импланти, което ги прави неповторими в световен мащаб със запазена марка.
Става въпрос за концепцията за зъбни импланти All on 4:
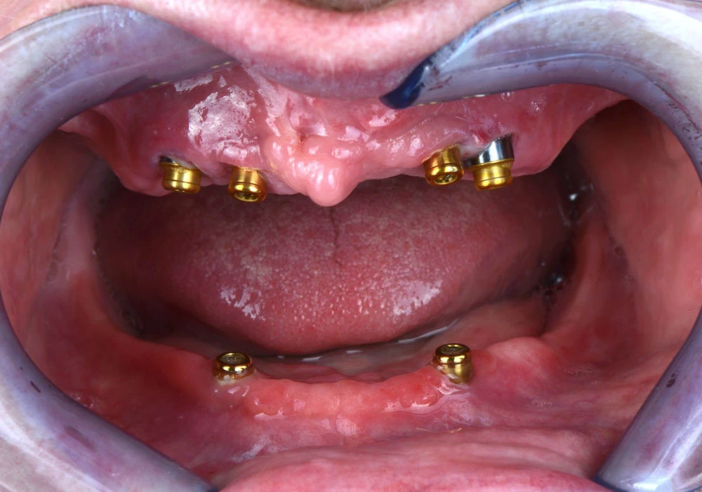
Лечение в долна и горна челюст с 4 специални тричастови, остеоинтегрирани зъбни импланта Nobel Speedy и неподвижен, винтово закрепен, сваляем мост от 12 зъба върху тях.
Тук става въпрос за качествено нов начин на лечение, който е европейски стандарт за Вас от Nobel BioCare – Швеция и Palo Malo. При него не оставате нито ден без зъби!
При наличие на протези – извадени са всички собствени зъби.
До ден 3-ти от поставяне на имплантите, Вие завинаги се разделяте с подвижните протези и всички техни недостатъци, които сами сте преживели. Вие получавате веднага временен, неподвижен, винтово закрепен мост от 10 зъба върху зъбни импланти.
При наличие на собствени зъби:
В ден 1-ви на изваждане на последните зъби, веднага върху зъбни импланти се поставя временен, неподвижен, винтово закрепен мост от 10 зъба.
Завършеното лечение и при двете ситуации се осъществява с неподвижен мост от 12 зъба върху 4 импланта – CAD/CAM, циркониев, винтово закрепен, при нужда сваляем без да се унищожава.
При тези методи на лечение вече се говори за пакетна цена, за цена на цялостното лечение. Предимството на пакетната цена е, че “развързва ръцете на лечителя” по отношение качеството на лечението. Той може да приложи пълния пакет от най-подходящи зъбни импланти, материали, методи и всякакви преки и непреки разходи за Вашето лечение, според собствените си знания и коректност. При този подход Лечителят не е ограничен и може да даде най-доброто от себе си. В противен случай започват компромисите, а те в голям процент не водят до нищо добро…
Съвременната световна тенденция е да се използват по-малко на брой импланти с 12 зъба върху тях.
С All on 4 зъбни импланти могат да се решат нерешими до този момент ситуации по възможно най-елегантния начин – без синус лифт и костозаместителни присадки. Намаляват се рисковете, времето и крайната цена за лечение спрямо тези методи.

Пакетната цена включва всички необходими хирургични интервенции за поставянето на имплантите; изработването на временната, винтово закрепена конструкция от 10 зъба, както и изработването и поставянето на постоянната циркониева, винтово закрепена мостова конструкция от 12 зъба.
И двете конструкции (временна и постоянна) са дигитално проектирани от денталните лекари в „Дента Консулт“, изработени са с CAD/CAM технология в нашата собствена зъботехническа лаборатория, което осигурява най-висок контрол върху качеството и използваните материали за завършване на протетичния етап от Вашето лечение.

Същото лечение може да се проведе и с 6 импланта, когато има достатъчно обем кост в областта на 6-те зъби. При тази ситуация няма импланти, които да са поставени под ъгъл от 35 градуса.
Открити отвори 6 импланта Закрити отвори 6 импланта

Много често, за да се намали крайната цена на лечението с 4-ри зъбни импланта по метода за зъбни импланти All on 4 и за да се привлекат повече пациенти се използват различни некоректни прийоми.
Тези некоректни прийоми могат да опорочат ефекта от цялостното дентално лечение и да Ви навлекат непоправими беди.
– Първата група некоректни прийоми са по отношение на използваните импланти. Това са импланти, които са стандартно използвани в класическата дентална имплантология. При тези стандартни двучастови импланти надстройката /multi unit/ върху зъбния имплант се фиксира в 4-ри или максимум 6 позиции. Това намалява възможността, когато имплантите са поставени под наклон от 35 градуса отворите за винтовете да се проектират в центъра на зъбите от моста.
За сравнение, при имплантите Nobel Speedy тези позиции са 18 т.е. три пъти повече, което довежда до качествено ново технологично решение, с което се постига медицински издържано лечение!
Кои зъбни импланти са добри! Защо?
– Втората група прийоми е свързана с мостовата конструкция, която е закрепена върху 4-те зъбни импланта. Класически временният мост е пластмасов, а постоянният трябва да е или металокерамичен или циркониев. Некоректният прийом е постоянният мост да е също пластмасов като временния. Още по лошо – възможно е пациентът въобще да не получи постоянен пластмасов мост, а да си остане с първичния, временен, пластмасов мост и всички настъпили промени в меки тъкани и кост да не бъдат коригирани след 4-6 месеца чрез постоянния мост.
Ето как изглеждат на RO графия зъбните мостове, завършени от пластмаса, металокерамика и цирконий.
RO пластмаса – Временната пластмасова конструкция не се вижда.

/зъбните импланти са поставени с хирургичен водач/
RO металокерамика – постоянна конструкция
/Вижда се слаба сянка около металния скелет. Това е порцеланът върху метала/

RO Цирконий – постоянна конструкция
/ Липсва слабата сянка на порцелана. Вижда се хомогенната сянка на Циркония/

Всичко това довежда до една много ниска цена за лечение с 4-ри зъбни импланта, но с голяма вероятност от ранни и късни усложнения и проблеми! Това, че се използват 4-ри импланта, се използва спекулативно по отношение наименованието на запазената марка за зъбни импланти All on 4 на Nobel Biocare и Palo Malo.
В „Дента Консулт“ водеща е медицината.
Парите следват лечението, което трябва да бъде проведено. Ако се поставят парите преди лечението, това означава да се постави “каруцата пред коня”. Така е във всички болници по света – първо те преглеждат, после те изследват, после правят план за лечение и остойностяват това лечение и най-накрая се започва със самото лечение.
При нас лечението на пациентите стои идентично.
След прегледа и консултацията, ние ще Ви дадем пълна и коректна ценова оферта за Вашето лечение.
Съпътстващи статии:
Концепция за зъбни импланти All on 4
Кои зъбни импланти са добри! Защо?
All on 4 – Поглед към бъдещето
All on 4 – Бялата магия на Palo Malo и Nobel Biocare
д-р Маринов – баща









