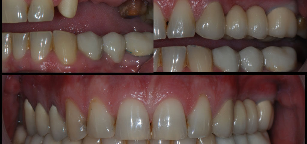
При много липсващи зъби съвременното лечение е с протези с магнити върху собствени корени.
Необходимо условие е зъбните корени да са симетрично разположени.
Те изпълняват ролята на зъбни импланти. За нас зъбните корени са импланти, дадени ни от Природата.
Според нас лечението с магнити е изключително удачно и то е за предпочитане пред лечението със стави.
Когато липсват множество естествени зъби и използването на импланти не е възможно по финансови причини, ние можем да Ви гарантираме едно успешно лечение без зъбни импланти, благодарение на огромния професионален и преподавателски опит на д-р Асен Маринов – баща.
Лечение с магнити:












